REGISTRATION NOW OPEN FOR 2026

Our multidisciplinary shoulder course with PT certification.
Our finishing shoulder course with an in depth look at managing calcific tendinopathy, proficiency in shoulder imaging, working with rare disorders and understanding complex shoulder pain.
This course includes the CASP certification exam.
MTS™ Level 4 is essential for understanding complex disorders in clinical practice, identifying and working with rare disorders, and radiology insights for solving persistent shoulder complaints.
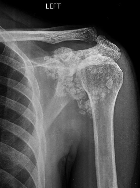
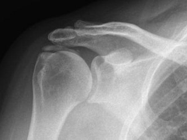
Day 1 will start with a review of calcific tendinopathy (simple to challenging cases), how to treat for best outcomes and multidisciplinary care. This will lead into a deeper look at shoulder disorders on imaging including plain film, US, CT and MRI.
Next is awareness of neurovascular & rare disorders covered in the afternoon session including an understanding of the uses and limitations of imaging.
Day 2 is dedicated to a final review of the shoulder, specific teaching cases and an extended group Q&A covering all topics from Level 1 to 4.
The final component is the CASP (certified advanced shoulder practice) examination conducted in the afternoon comprising a 90 minute exam. An downloadable practice exam booklet will be included when registering for the course. You can also read through the course questions / discussion points available on each course page (bottom of page).
Recommended for :
Pre-requisites
Course Fee
^Please note: Course registration closes @ 5pm PST the Saturday prior to the course date.

TOPIC 11 - CALCIFIC TENDINOPATHY
Case Studies / Q&A
TOPIC 12 - UNDERSTANDING IMAGING - PEARLS & PITFALLS
Case Studies & Discussion
TOPIC 13 - NEUROVASCULAR & RARE DISORDERS OF THE SHOULDER

TOPIC 14 - SOLVING COMPLEX PAIN PATTERNS
EXTENDED REVIEW AND Q&A LEVELS 1-4
CASP EXAMINATION

Solving shoulder disorders can be complex. There are over 50 different shoulder disorders, multiple joint considerations and often more than one source of pain for any patient complaint. Patients are often seeking clinical management expertise when attending specialty MSK physio.
Mastering the Shoulder™ Series provides a complete training program in shoulder disorders with certification offered after successful examination and completion of MTS™ Levels 1-4.
The CASP designation (Certified Advanced Shoulder Practice) is offered to clinicians interested in demonstrating their advanced training in shoulder pathology, movement disorders and pain.
Three distinctive skills of MSK practice make up the CASP designation:
Over four weekends, we cover examination, multidisciplinary management and how to successfully treat more than 20 specific shoulder disorders. You'll learn the skills to problem solve, assess radiology, understand difficult disorders and develop exceptional clinical skills in your practice.
A final weekend is offered, Level V - The Spine, to incorporate key examination, treatment and multidisciplinary skills in solving complex shoulder pain and upper quadrant complaints.
Advanced practice certification is offered with the following benefits:
After successful completion of the Level 4 course and examination, you will be invited to participate in the final course - THE SPINE, covering key technical aspects of cervical mobilization and stabilization, preferred thoracic treatments and solving complex upper quadrant pain patterns.
The final piece of the puzzle to solving many shoulder pain complaints that are amplified or generated from the upper spine.
ShoulderPT offers all physiotherapists the option of staying up to date with specialty MSK skills. This includes new protocols, radiology pearls, surgical insights and new treatments being clinically tested in specialty MSK practice.
ShoulderPT has a unique multidisciplinary team of experts spanning radiology, sports medicine, physiatry, neurology and surgical fields to add to your multidisciplinary knowledge.
We'll offer concise, quarterly updates on clinically applied topics using case examples, recommended treatments for specific conditions, MSK self tests and the opportunity for direct Q&A.
We believe this is the best balance of new information, tested protocols and multidisciplinary knowledge for the busy clinician and the clinician looking for the best clinical results.




A patient is referred to you for severe right shoulder pain of 2 weeks. She complains of regular night pain, difficulty with arm movement and no prior history of shoulder disorders. No trauma, minimal improvement with physiotherapy in her community, a recent flare with massage and no effect of regular OTC NSAID use. Right dominant.
Examination reveals difficulty in early movement, particularly flexion and abduction (limited to 30 deg). Muscle power around the shoulder is reduced 4-/5 in elbow flexion, abduction, IR and ER, limited by pain. Special tests are limited. No muscle loss around the scapula. She is tender to palpation over the ACJ and subacromially. Passive movement in ER is moderately restricted (50.70,90 throughout standard abduction points), with GHJ abd to 80 deg.
Mild restriction in cervical movements and moderate pain to light - med palpation along the facet line on the in all directions ar notch are clear. No reaction to cough and unable to perform spurling's test due to neck discomfort ( but no increase in shoulder pain).
She works as a musician and is having difficulty with preparing for an up coming performance in two weeks. She is hoping for a diagnosis and effective pain relief as she is unsure about her upcoming performance.

Copyright © 2014-2025 ShoulderPT - All Rights Reserved.